Menu
down white black pearl plain arrow down black pearl white plain arrow

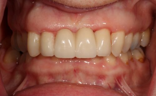
Case 5: Crowns

Lower crowns and bridgework

Explore

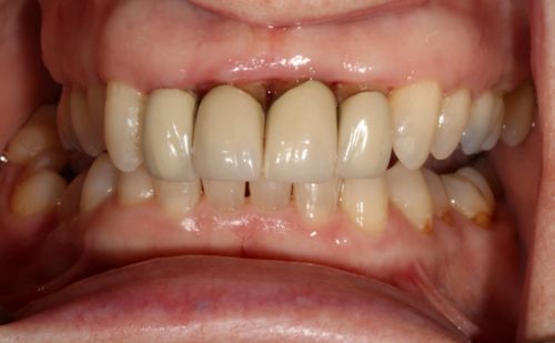
Case 6: Crowns

Replacement crown

Explore

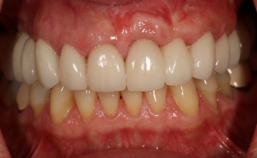
Case 7: Crowns

Upper crown replacement

Explore

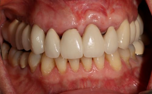
Case 8: Crowns

Upper crowns/ lower anterior bridge

Explore

Contact

Get in touch

Worn Teeth & Bite Rehabilitation

Complex Bite and Wear Treatment

Carefully planned rehabilitation for worn teeth, bite problems, and long-term restorative stability.

Explore

Emergency & Broken Teeth

Fast Relief When You Need It Most

Prompt care to relieve pain and repair broken or damaged teeth after accidents or sudden issues.

Explore

Crowns & Bridges

Protect and Replace Damaged Teeth

Custom restorations that strengthen cracked teeth or replace missing ones while restoring your smile.

Explore

Dental Implants

Enhance Your Smile

Transform your smile with cosmetic treatments like teeth whitening, veneers, and bonding for a more confident you.

Explore

Endodontics

Specialist-Led Root Canal Treatment

Assessment and treatment of painful, infected, and complex teeth, with the aim of saving natural teeth where possible.

Explore

Gum Health (Periodontal Care & Hygiene)

The Foundation of a Healthy Smile

Prevent and treat gum disease to protect your teeth, gums, and overall oral health.

Explore

Cosmetic Dentistry

Enhance the Look of Your Smile

A range of treatments designed to improve tooth shape, colour, and overall smile aesthetics.

Explore

Orthodontics

Specialist-Led Orthodontic Care

Teeth straightening and bite correction planned to improve alignment, function, and long-term dental health.

Explore

Extractions

Comfortable, Stress-Free Care

Safe and comfortable removal of problematic teeth to relieve pain and protect your long-term oral health.

Explore

Fillings & Adhesive Dentistry

Repair and Protect Teeth

Modern fillings restore damaged teeth while preserving their natural appearance and strength.

Explore

Dentures

Comfortable, Natural-Looking Tooth Replacement

Custom dentures replace missing teeth to restore function, speech, and confidence.

Explore

Longevity & Maintenance

Protect Your Smile for Life

Ongoing care and maintenance plans designed to keep your teeth and restorations healthy long term.

Explore

Technology & Planning

Precision Through Advanced Care

Digital technology and careful planning ensure accurate, predictable, and personalised dental treatment.

Explore

Snoring and Anti-Snoring Devices

Breathe Easier, Sleep Better

Effective treatments and devices designed to reduce snoring and improve your sleep quality for healthier, more restful nights.

Explore

Your Dental Care Journey

Navigate Every Step with Confidence

Personalised guidance and comprehensive care to support your smile at every stage.

Explore

Worn Teeth & Bite Rehabilitation

Complex Bite and Wear Treatment

Carefully planned rehabilitation for worn teeth, bite problems, and long-term restorative stability.

Explore

Emergency & Broken Teeth

Fast Relief When You Need It Most

Prompt care to relieve pain and repair broken or damaged teeth after accidents or sudden issues.

Explore

Crowns & Bridges

Protect and Replace Damaged Teeth

Custom restorations that strengthen cracked teeth or replace missing ones while restoring your smile.

Explore

Dental Implants

Enhance Your Smile

Transform your smile with cosmetic treatments like teeth whitening, veneers, and bonding for a more confident you.

Explore

Endodontics

Specialist-Led Root Canal Treatment

Assessment and treatment of painful, infected, and complex teeth, with the aim of saving natural teeth where possible.

Explore

Gum Health (Periodontal Care & Hygiene)

The Foundation of a Healthy Smile

Prevent and treat gum disease to protect your teeth, gums, and overall oral health.

Explore

Cosmetic Dentistry

Enhance the Look of Your Smile

A range of treatments designed to improve tooth shape, colour, and overall smile aesthetics.

Explore

Orthodontics

Specialist-Led Orthodontic Care

Teeth straightening and bite correction planned to improve alignment, function, and long-term dental health.

Explore

Extractions

Comfortable, Stress-Free Care

Safe and comfortable removal of problematic teeth to relieve pain and protect your long-term oral health.

Explore

Fillings & Adhesive Dentistry

Repair and Protect Teeth

Modern fillings restore damaged teeth while preserving their natural appearance and strength.

Explore

Dentures

Comfortable, Natural-Looking Tooth Replacement

Custom dentures replace missing teeth to restore function, speech, and confidence.

Explore

Longevity & Maintenance

Protect Your Smile for Life

Ongoing care and maintenance plans designed to keep your teeth and restorations healthy long term.

Explore

Technology & Planning

Precision Through Advanced Care

Digital technology and careful planning ensure accurate, predictable, and personalised dental treatment.

Explore

Snoring and Anti-Snoring Devices

Breathe Easier, Sleep Better

Effective treatments and devices designed to reduce snoring and improve your sleep quality for healthier, more restful nights.

Explore

Your Dental Care Journey

Navigate Every Step with Confidence

Personalised guidance and comprehensive care to support your smile at every stage.

Explore

SCHEDULE CONSULTATION

Book your consultation

Take the first step towards a healthier, more confident smile — schedule your consultation with our friendly dental team today.

Online Booking
logo up customs green plain symbol

Social Media

Join the Conversation

Follow us on social media for the latest updates, behind-the-scenes moments, and more.

Explore
logo up thin white plain symbol

Contact

Get in touch

abstract line left white plain shape
4.8
Google-review