
Because of its scope, this type of care is almost always carried out in planned stages, rather than all at once.
Full mouth rehabilitation is not a single procedure. It involves rebuilding how the teeth meet, function, and support each other. Staging treatment allows us to:
Careful sequencing improves predictability.
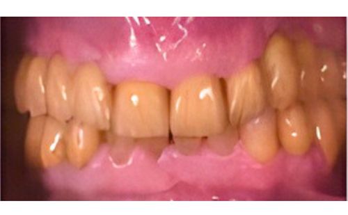
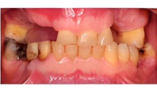
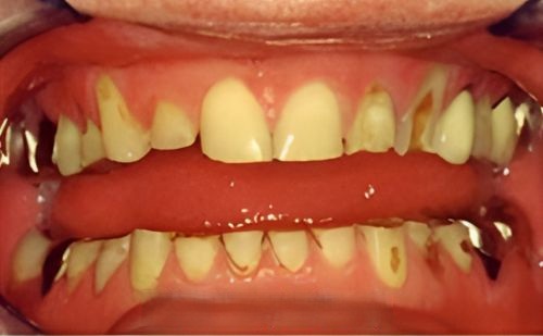
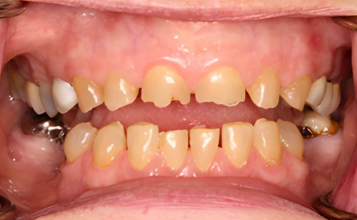
Back to Worn Teeth & Bite RehabilitationThis type of treatment may be appropriate if you have:
In many cases, the problem has developed gradually over the years.
This approach prioritises long-term success over speed.
Full rehabilitation is often carried out over several months. In complex cases, treatment may extend longer to allow for healing and careful sequencing.
Rushing comprehensive treatment increases risk.
Depending on the case, rehabilitation may involve:
Treatment is customised — there is no single formula.
Staged rehabilitation is often recommended when patients have:
These situations are rarely solved by treating individual teeth in isolation.
Although every case is different, treatment often follows a logical sequence:
1. Assessment and planning
2. Stabilisation phase
Staged full-mouth rehabilitation is considered a complex dental treatment.
At Harcourt Dental clinic, assessment, planning, and coordination of this type of care is carried out and overseen by Dr Kevin Gilmore. This ensures that decisions about bite, tooth wear, sequencing, and long-term stability are made with the full picture in mind.
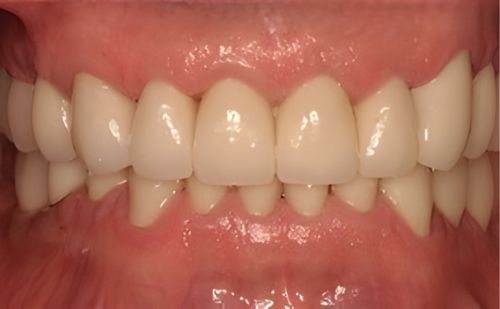
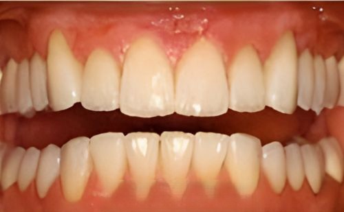
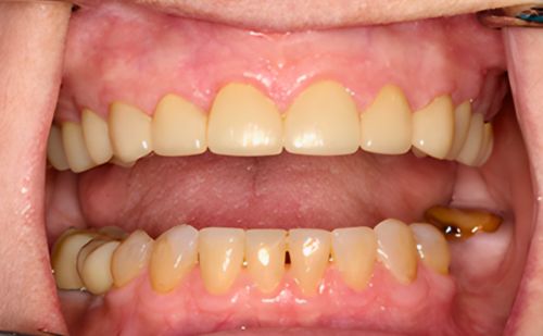
Staged full mouth rehabilitation is about rebuilding stability gradually and carefully. By planning in phases and testing changes before final treatment, we aim to create durable, comfortable, and natural-looking results.
See how our treatments create beautiful, confident smiles.
ExploreWe’re proud to be a trusted part of our patients’ oral health journeys. Explore their testimonials to see how we’re creating positive dental experiences – one smile at a time.
ExploreIf you have a broken tooth or a cracked tooth, contact us for an assessment and a clear plan.
Follow us on social media for the latest updates, behind-the-scenes moments, and more.
Explore